
입안 피멍울 원인과 치료방법 관련 5가지 주의사항
입안 피멍울 주의해야 하는 이유
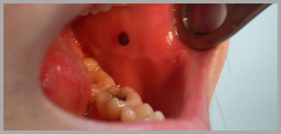
안녕하세요. 수란건강연구소 소장 수란선생입니다. 오늘은 많은 분들이 호소하시는 질환인 입안 피멍울에 대해 살펴보겠습니다. 갑작스럽게 멍울이나 덩어리가 만져진다면 우리는 큰 걱정에 빠질 수 있습니다. 혹시 암은 아닐까 하는 걱정이지요. 여러분도 혹시 이러한 상황에 놓이셨나요? 그렇다면 집중하세요. 입안 피멍울의 원인과 치료, 그리고 관련한 중요한 내용에 대해 공유드리도록 하겠습니다. 아래의 내용을 잘 참고하셔서 소중한 여러분의 건강을 지키시기 바랍니다.



입안 피멍울 관련 유의사항
입안 피멍울 원인과 치료법에 대해 본격적으로 알아보기 전에 왜 입안 피멍울이 문제가 되는지 알아보도록 하겠습니다. 일반적으로 이러한 증상이 나타나는 경우는 몸의 면역력이 떨어졌을 때 입니다. 그런데 요즘과 같이 개인의 면역문제가 중요한 때에는 입안 피멍울 자체가 위험신호가 될수 있는 셈이지요. 그럼 아래에서 관련 내용에 대해 구체적으로 살펴보겠습니다. 자세한 정보가 궁금하시다면 아래를 참고하세요.
입안 피멍울 원인 살펴보기
1. 스트레스와 피로
앞서 말씀드린 것 처럼 입안 피멍울 원인으로 손꼽히는 것은 스트레스 입니다. 스트레스가 심해지면 체내 면역력이 급격히 떨어질 수 있습니다. 이는 입 안에 존재하는 세균에 의해 입안 피멍울과 같은 증상이 발생할 수 있습니다. 따라서 스트레스와 피로를 풀어주는 것이 가장 중요한 해결책일 수 있습니다. 충분한 수면과 함께 균형잡힌 식사, 그리고 적절한 운동을 꼭 병행해주세요. 또한 피로감이 만성적이라면 종합비타민B군 섭취가 도움이 될 수 있다는 점 체크하시기 바랍니다.



2. 세균감염
두번째로 소개해드릴 입안 피멍울 원인은 세균에 의한 감염 입니다. 1번 항목과 공통적인 부분이라 할 수 있습니다. 하지만 입안에 정상적으로 존재하는 세균이 아니라 감염을 일으키는 세균에 의해 입안 피멍울이 발생한다면 전문적인 치료를 요할 수 있습니다. 특히 성병을 일으키는 헤르페스의 경우 입안 염증도 일으킬 수 있습니다. 이를 위해서는 꾸준한 양치질과 가글 등이 도움이 될 수 있습니다. 하지만 양치 직후 가글액을 사용하시면 치아 변색을 유발하실 수 있다는 점 주의하세요.



3. 과도한 다이어트 문제
입안 피멍울의 또다른 원인은 영양불균형 입니다. 요즘과 같이 음식이 풍부한 시대에서는 주로 다이어트 때문에 생기는 상황입니다. 혹은 과도한 인스턴트 식품 섭취나 편식의 경우에도 문제가 될 수 있습니다. 이 경우에는 영양분 부족으로 인해 입안 피멍울과 같은 이상 증세가 나타날 수 있습니다. 앞서 말씀드린대로 균형잡힌 식사와 충분한 수면, 그리고 적절한 운동을 병행하시길 권장합니다.



지금까지 입안 피멍울 원인에 대해 살펴보았습니다. 그럼 어떻게 해야 이러한 입안 피멍울 증상을 예방하고 치료할 수 있을까요? 궁금하시다면 아래 내용을 확인해보세요.
입안 피멍울 예방 및 치료법
1. 잘못된 생활습관 걔선
입안 피멍울 예방을 하기 위해서는 어떻게 해야할까요? 가장 큰 원인이 면역력 저하인 만큼 평소 면역력 관리에 만전을 기하시기 바랍니다. 특히 골고루 음식을 섭취하시고 충분히 수면을 취하셔서 스트레스와 피로가 쌓이지 않도록 유의하세요. 그리고 적절한 운동을 통해 건강히 땀을 흘리시면 면역력을 지킬 수 있습니다. 또한 평소 이를 강하게 앙 다무는 습관이 있으시거나 구강건조증이 있으시다면 적절한 치료가 필요할 수 있습니다.



2. 치과 및 피부과 치료
자주 발생하는 입안 피멍울의 경우 다른 원인이 있을 수 있습니다. 피부의 이상이거나 치아 및 잇몸의 이상일 수 있습니다. 이 경우 치과를 방문해보시는 것을 추천드립니다. 혹은 주변에 치과가 없으시다면 피부과의 도움을 받으실 수도 있습니다. 시중의 소염제나 기타 일반의약품으로 자가 치료를 하실 경우 골든타임을 놓쳐 악화될 수도 있다는 점을 유념하시기 바랍니다.



입안 피멍울 원인 치료방법 관련사항 총정리
지금까지 입안 피멍울 원인과 치료방법 등에 대해 살펴보았습니다. 여러분께 도움이 되셨길 소망합니다. 그리고 도움이 되셨다면 주변 분들에게도 공유를 해보시는 건 어떨까요? 건강의 중요성이 어느때보다도 중요해진 지금, 가장 좋은 안부인사가 아닐까 싶습니다. SNS 계정을 가지고 계신가요? 그렇다면 본문 맨 하단의 SNS 공유기능을 활용해보세요. 지금까지 수란건강연구소 소장 수란선생이었습니다. 감사합니다.
잇몸 내려앉음 치료 방법과 꼭 체크해야할 5가지
잇몸 내려앉음 치료 방법과 꼭 체크해야할 5가지 잇몸 내려앉음 치료 더 알아보기 안녕하세요. 수란건강연구소 소장 수란선생입니다. 오늘은 많은 분들이 호소하시는 잇몸 내려앉음 증상에 대
health.ysrang.co.kr
콘쥬란 주사 가격 효과 부작용 정보 총정리
콘쥬란 주사 가격 효과 부작용 정보 총정리 콘쥬란 주사 더 알아보기 안녕하세요. 수란건강연구소 소장 수란선생입니다. 최근 저는 지하철 출퇴근 길에 흥미로운 광고를 봤습니다. 오늘 말
health.ysrang.co.kr
항문 찢어짐 방치 시 큰일나는 징후 5가지
항문 찢어짐 방치 시 큰일나는 징후 5가지 항문 찢어짐 대처가 중요 안녕하세요. 수란건강연구소 소장 수란선생입니다. 최근 재택근무 등으로 좌식생활이 길어졌습니다. 이로 인해 각종 항
health.ysrang.co.kr
'건강정보' 카테고리의 다른 글
| 권연벌레 물린자국 퇴치법 관련 생활꿀팁 5가지 (0) | 2020.10.27 |
|---|---|
| 알토란 생강청 쉽게 만드는 방법 5단계 (0) | 2020.10.27 |
| 잇몸 내려앉음 치료 방법과 꼭 체크해야할 5가지 (0) | 2020.10.24 |
| 항문 찢어짐 방치 시 큰일나는 징후 5가지 (0) | 2020.10.23 |
| 아로니아 분말 복용법 필수 체크사항 5가지 (0) | 2020.10.22 |